診療内容
インプラント
「手軽さでなく専門医が行う一生物のインプラントです」
本物の治療を行い、
しっかりと噛める状態にします。
本物の治療を行い、
しっかりと噛める状態にします。
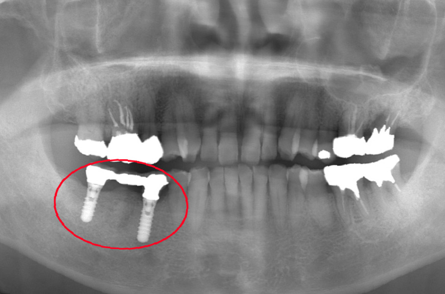
インプラント16年経過症例
80代になっても、ご自身の歯を一本も失わずに噛める喜び
【インプラント埋入直後】
2009年6月当時67歳
2009年6月当時
【16年後】
2025年4月83歳
2025年4月83歳
患者様の概要
- 治療当時
- 67歳
- 現在
- 83歳(術後16年経過)
- お悩み
- 右下の歯が割れて抜歯になり、噛めない状態でした。
- 治療のポイント
- 歯を失った右下部分にインプラントを2本埋入し、連結した被せ物(ブリッジ)で噛み合わせを回復しました。
治療から16年が経過し、患者様は83歳になられましたが、インプラントの状態は非常に良好です。
何より素晴らしいのは、「インプラントがしっかりと噛む力を支えてくれたおかげで、 他のご自身の歯への負担が減り、この16年間でさらに歯を失うことがなかった」という点です。
3~4ヶ月ごとの定期的なメンテナンス(パウダーによるクリーニング等)にもしっかりに通っていただいた結果、 現在もしっかりとご自身の歯で食事を楽しんでおられ、全身の健康も素晴らしい状態です。
治療データ
- 治療期間・回数
- 約5ヶ月(通院12回)
- 費用(治療当時)
- 総額 88万円(税込)
内訳:インプラント手術 44万円(インプラント2本埋入)、被せ物 44万円 - リスク・副作用
-
- 持病をお持ちの方は、医科の主治医への確認が必要な場合があります。事前にご相談ください。
- 手術に伴い、腫れが出ることがあります。(通常3日目がピークで、その後落ち着き
ます)
治療中の写真
術後の写真
インプラント16年経過症例
「噛むと痛い」悩みから16年。ご自身の歯を一本も失わずに守り抜きました。
【インプラント埋入直後】
2009年10月40歳
2009年10月40歳
【16年後】
2025年3月56歳
2025年3月56歳
患者様の概要
- 治療当時
- 40歳
- 現在
- 56歳(術後16年経過)
- お悩み
-
「左下の奥歯で噛むと痛みがある」とご来院されました。
診査の結果、歯の根が割れてしまっていること(歯根破折)が痛みの原因と判明しました。 - 治療のポイント
- 割れてしまった歯の代わりにインプラントを1本埋入し、しっかりと噛める状態を取り戻しました。
治療から16年が経過しましたが、インプラントは非常に良い状態で安定しており、噛み合わせも問題ありません。
特筆すべきは、「インプラントがしっかりと噛む力を引き受けてくれたおかげで、 他のご自身の歯への負担が減り、この16年間でさらに歯を失うことがなかった」という点
現在も3~4ヶ月ごとに定期メンテナンス(パウダーによるクリーニング)に通って
治療データ
- 治療期間・回数
- 6ヶ月(通院8回)
- 費用(治療当時)
- 総額 46万円(税込)
内訳:インプラント手術 24万円(インプラント1本埋入)、被せ物 22万円 - リスク・副作用
-
- 持病をお持ちの方は、医科の主治医への確認が必要な場合があります。事前にご相談ください。
- 手術に伴い、腫れが出ることがあります。(通常3日目がピークで、その後落ち着き
ます)
治療中の写真
術後の写真
日本を代表するインプラント専門医、高橋恭久先生による
インプラント治療を行っています。
インプラント治療を行っています。
高橋 恭久(たかはし ゆきひさ)先生
Yukihisa Takahashi, DDS, PhD
Yukihisa Takahashi, DDS, PhD
学歴/職歴
- 1994,3
- 日本歯科大学卒業
- 1994,4
- 日本歯科大学大学院入学(解剖学教室第二講座)
- 1998,3
- 日本歯科大学大学院卒業 歯学博士
- 2001,3
- 日本人初のITIスカラーシップ(世界15名枠)に選抜される.
- 2002,9
~2003,10 - Department of Prosthodontics, University of Connecticut Health Center, CT, USA ( アメリカ・コネチカット大学ヘルスセンター補綴科) ITI スカラー留学.ITI会長,コネチカット大学補綴科教授 Prof. Thomas D Taylorに師事.
- 2005,7
- ITI World Symposium 2005, Munich, Germany / Best Presentation Award ITIワールドシンポジウム,ドイツ・ミュンヘン大会にてAwardを受賞
- 2006~
- Art of Oral Science Japan (AOS Japan) 設立 最高顧問
- 2009,4~
- 鶴見歯科大学 口腔顎顔面インプラント科 非常勤講師 就任
- 2010,3~
- 韓国Kyung Hee大学 口腔顎顔面外科 非常勤准教授 就任
- 2011,10~
- 医療法人 慈世会 設立 理事長
- 2014,10~
- Global Academy of Osseointegration (GAO) International Core Member, Director of Japan Unit.
- 2016,4~
- Academy for Oral Science (旧Art of Oral Sceience) 代表
- 2016,12~
- 一ノ塾 設立
国内所属学会/海外メンバーシップ
- 日本顎咬合学会 認定医
- 日本口腔インプラント学会会員
- 日本顎顔面インプラント学会会員
- cademy of Osseointegration (AO), active member
- European Association Osseointegration (EAO) member
- ITI member
- ITI scholar 2002
所属スタディクラブ
- 日本歯科先端技術研究所会員
- AOS Japan 最高顧問
- GAO International Core Member, Director of Japan Unit
セミナー/コース/講習会関連
◎定期セミナー(3日間イブニングセミナー)
» 2015年の活動はこちら


- 2004
- ITIインプラント臨床座談会 年3回 / 水道橋
- 2004~2005
- ITIインプラント臨床座談会 年3回 / 新宿
- 2004~2005
- ITIインプラント臨床座談会 年3回 / 横浜
- 2005
- ITIインプラント臨床座談会 年3回 / 厚木
- 2006~2007
- インプラントの導入から最前線へのスターターセミナー 年3回 / 新宿
- 2006~2007
- インプラントの導入から最前線へのスターターセミナー 年3回 / 横浜
- 2011, 6-12
- 定例座談会(後援;ASTRA Tech )月1回/ 東京, 横浜
- 2008
- 鶴見大学Genius Implant Ex. Course(佐藤淳一先生監修)
- 2011~2012
- Astra Tech インプラント 座談会 年6回 / 横浜・東京
- 2006
- ITI エステティックインプラントセミナー / 新宿
- 2007
- ITI ワールドシンポジウムNew York情報提供セミナー / 名古屋
- 2007
- ITIセミナー;ITIトリートメントガイド出版記念 / 大阪
- 2009,7
- インプラント治療のための戦略的トライアングルセミナー/ 横浜
- 2009, 11,12
- インプラント治療のためのスターター討論会 / 町田
- 2010, 3,4
- インプラント治療のためのスターター討論会 / 横浜
- 2010, 10
- 第6回 日本国際歯科大会 「インプラント偶発症」/ 横浜
- 2011, 3
- AOS Japan 5周年記念セミナー / 品川
- 2011, 5
- ASTRA Tech システムセミナー / 東京
- 2011, 6
- 日先研&日本臨床合同セミナー / 東京
- 2011, 7
- インプラントトラブルカンファレンス 2011 / 東京
- 2011, 7
- ASTRA Tech 1 Day セミナー / 東京
- 2011, 8
- ASTRA Tech Osseo Speed 説明会 / 北海道
- 2011, 10
- ASTRA Tech Osseo Speed 説明会 / 東京
- 2011, 11
- 第1回インプラント・CAD/CAMミーティング / 横浜
- 2011, 11
- 大信貿易シンガポールセミナー2011 / シンガポール
- 2012, 2
- OSI スタディクラブ 講演会
- 2012, 2
- 日本先端技術研究所山口宇部、新年講演会
- 2012, 3
- Kyung Hee University Advanced Surgery Course / ソウル, 韓国
- 2012, 6
- Astra Tech Seminar /浜松
- 2012, 6
- Kyung Hee University Advanced Surgery Course / ソウル, 韓国
- 2012
- Sweden & Mrtina, Premium Seminar 「インプラント治療におけるトルク管理の重要性」
- 2012, 10
- TGU Club主催 『第2回東日本大震災チャリティ講演会』
- 2013, 1
- Astra Tech Implant System, インプラントサージカルセミナー 東京
- 2013, 3
- AOS Japan主催 第1回IMPLANT COLOSSUS /日韓合同講演「次世代を支えるインプラントロジスト」
- 2013, 4
- Jeju Seminar [Solutions for various implant complications; Decision-making for a new technique to remove osseointegrated implants] 韓国
- 2013, 2
- 大信貿易シンガポールセミナー2013 / シンガポール
- 2013, 8
- 日本口腔インプラント学会,関東 甲信越支部 第4回 学術シンポジウム 「インプラント治療のリカバリーを考える:あなたならどうする? 上顎洞挙上術に関するトラブルとリカバリー」
- 2014, 3
- Sweden & Martina, The first premium scientific implants seminar in Japan. 東京
- 2014, 4
- Astra Tech Implant System, グラフトレスサージェリーの可能性 東京
- 2014, 8
- ヨツバコセミナー『患者さんのためのインプラントQ&A』 横浜
- 2014, 8
- Straumann SLActiveロードショー『SLActive 親水性表面性状を備えたインプラント インプラントデザインの革新がもたらす未来とは?』
- 2014, 8
- 中島康先生勉強会 『インプラントデザインと生体力学、トルク管理の重要性』 大阪
- 2014, 9
- 大信貿易『骨造成の新素材の紹介』 神奈川
- 2014, 10
- 1st GAO International Speaker Seminar 韓国
- 2014, 11
- Sweden & Martina ベーシックコース 「インプラントシステムの構造と特徴ほか」 東京
- 2014, 12
- GAO International Japan Unit, 1st Japanese speaker meeting 横浜
- 2005, 7
- ITI World Symposium 2005 / Munich, Germany
- 2007, 2
- 22nd Annual Meeting, Academy of Osseointegration 2007 / Texas, USA
- 2010, 10
- 第6回 日本国際歯科大会 「インプラント偶発症」/ 横浜
- 2011, 7
- インプラントトラブルカンファレンス 2011 / 東京
- 2011, 11
- 第1回インプラント・CAD/CAMミーティング / 横浜
- 2012, 5
- 第3回ASTRA Tech World Congress 2012 / Geoteborg, Sweden
- 2012, 10
- Neo International Symposium / ソウル, 韓国
- 2013, 10
- Neo International Symposium / ソウル,韓国
- 2014, 10
- 第7回日本国際歯科大会 「インプラントのための再生療法ー長期的に維持する方法とは?自家骨採取方法とその臨床応用」 横浜
- 2014, 11
- 1st Dentsply Symposium 「Astra プロファイルインプラントの応用」
活動履歴
» 2014年の活動はこちら» 2015年の活動はこちら
恩師 Thomas D. Taylor


文献/書籍/演題発表
- 1.高橋恭久,倉淵真悟,相山誉夫, 副交感神経遮断と虚血がマウス顎下腺組織に及ぼす影響について ,歯学, 86(4) : 826-841, 1998.
- 2. Yukihisa Takahashi, Shingo Kurabuchi ,Shigeo Aiyama, Histological Changes in the Mouse Submandibular Gland Subjected to Parasympathetic Nerve Block or Ischemia; Comparison between Chorda Tympani Resection and Trophic Vessel Transection., Shigaku, 86(4):820-825,1998.
- 3. 杉藤庄平,高橋恭久,江黒徹,中川真,多田祐介,上野栄一,白鳥徳彦,高木亮,五十嵐俊男,平行性のないインプラント上部構造作製の一考察, 第29回日本口腔インプラント学会 関東・甲信越支部総会,1999,11,13.
- 4. 佐藤彩子,大川万里子,高橋恭久,江黒徹,溝口尚,小森谷亮,志賀泰昭,倉本弘樹,簗瀬武史,入江靖雄,インプラント周術期の全身管理における歯科衛生士の役割について, 第29回日本口腔インプラント学会 関東・甲信越支部総会1999,9,26.
- 5. 高橋恭久,油谷一裕,塩浜康良,福里英彦,伊藤充雄, 上部構造物に関する研究 -肉厚と鋳造精度について-, 日本口腔インプラント学会誌, 15(3),2002.
- 6. 高橋恭久*, 勝山英明, デンタルインプラントのトレンドと可能性-インプラントはどこに向かうのか, 歯科技工, 32(1) : 57-70, 2004.
- 7. 高橋恭久, 関山治樹, 勝山英明, 第1回 インプラントの評価基準と治療計画 歯科医師と歯科技工士の協同戦略-診査・評価・診断, 歯科技工, 32(2) : 163-175, 2004.
- 8. 月岡庸之, 堀田将利, 稲田和徳, 梅澤誠二, 高橋恭久, 勝山英明, 第3回臼歯部領域におけるインプラント治療・技工-1.単独歯欠損症例に対する処置, 歯科技工, 32(4) : 459-477, 2004.
- 9. Ultimate Guide IMPLANTS, 医歯薬出版, 2004.
- 10. Yukihisa Takahashi, Hitoshi Aoshima, Hideaki Katsuyama, Papilla Formation Technique With Multiple Immediate Implant Placement, the Quintessence,vol.24 No.4/2005-645,p3-6.
- 11. 高橋恭久, 勝山英明,インプラントを用いた審美修復の限界と可能性1,インプラント間乳頭の形成と長期にわたる維持,別冊Quintessence YEAR BOOK 2005現代の治療指針 全治療分野と欠損補綴, 110-111, 2005.
- 12. 中田光太郎, 千 栄寿, 小川秀仁, 高橋恭久, 勝山英明, 第1回 インプラント治療・技工における新機材導入の可能性, 歯科技工, 33(2) : 147-160, 2005.
- 13. 新村昌弘, 高橋恭久, 勝山英明, 第2回歯科矯正治療へのインプラントの応用-インプラント治療と歯科矯正治療のコラボレーション, 歯科技工, 33(3) : 345-359, 2005.
- 14. 月岡庸之, 梅沢誠一, 高橋恭久, 勝山英明,第3回 イミディエートローディングインプラントの臨床・技工, 歯科技工, 33(5) : 565-579, 2005.
- 15. 高橋恭久, 関山治樹, 青嶋 仁, 第4回 (最終回) 抜歯即時インプラントにみる未来型治療の方向性 -インプラント治療・技工の到達点として, 歯科技工, 33(6) : 701-717, 2005.
- 16. Urs C. Belser, Bruno Schmid, Frank Higginbottom, Daniel Buser/(訳)北條正秋, 高橋恭久, 勝山英明, 上顎前歯部におけるインプラント修復の結果分析:最近の文献レビュー, 別冊 Quintessence DENTAL Implantology, 第3回 ITIコンセンサス会議議事録,インプラント治療における最新プロトコールの全容. 34-47, 2005.
- 17. Daniel Buser, William Martin, Urs C. Belser/ (訳)林 秀一, 高橋恭久, 勝山英明,上顎前歯部における審美的インプラント修復の最適化:解剖学的、外科的考慮, 別冊 Quintessence DENTAL Implantology, 第3回 ITIコンセンサス会議議事録,インプラント治療における最新プロトコールの全容. 48-67, 2005.
- 18. Frank Higginbottom, Urs C. Belser, John D. Jones, Scotto E. Keith/ (訳)稲田和徳, 高橋恭久, 勝山英明,審美領域におけるインプラント補綴のマネージメント, 別冊 Quintessence DENTAL Implantology, 第3回 ITIコンセンサス会議議事録,インプラント治療における最新プロトコールの全容. 68-79, 2005.
- 19. Urs C. Belser, Daniel Buser, Frank Higginbottom/ 稲田和徳, 高橋恭久, 勝山英明,インプラント歯科学における審美に関する合意声明と推奨される臨床術式, 別冊 Quintessence DENTAL Implantology, 第3回 ITIコンセンサス会議議事録,インプラント治療における最新プロトコールの全容. 80-83, 2005.
- 20. 勝山英明, 高橋恭久, 北條正秋, 特別企画,審美部位におけるインプラント治療のクライテリアとその科学的背景.Part3.インプラントと上部構造の相互関係, Quintesence Dental Implantology,Vol.13,No 3,2006.
- 21. 高橋恭久,"インプラント審美" 上顎前歯部1歯欠損症例, 抜歯後即時インプラント埋入・即時プロビジョナルレストレーション, Quintesence Dental Implantology, vol.13,No.5, 2006.
- 22. Yukihisa Takahashi, Two Case Reports of Inter-implant Papilla Reconstruction in the Esthetic Zone. The European Journal of Esthetic Dentistry., Vol.1 No.2,100-110.August 2006, Quintessence Publishing, Berlin in Germany.
- 23. Yukihisa Takahashi, Clinical reseach, A Case Report of Inter-implant Papilla Reconstruction and An Attempt for Evaluation of Treatment Outcome.Poster presentation, Academy of Osseointegration, 22nd annual meeting, March, 2007.
- 24. Yukihisa Takahashi, Clinical reseach, A Case Report of Inter-implant Papilla Reconstruction and An Attempt for Evaluation of Treatment Outcome. Sceintific Journal of Japan Institude for Advanced Dentistry, Vol.12-No4, 203-213, 2006.
- 25. 高橋恭久,勝山英明 "インプラント審美" 上顎無歯顎ボーンアンカードブリッジ症例, CAD/CAMテクノロジーによって作製されたワンピース・ジルコニアフレームの応用, Quintesence Dental Implantology, 2008.
- 26. 高橋恭久, 高崎義人,直野公一,特集:インプラント治療における下歯槽神経損傷および知覚障害の診査・診断・対処法, Part 2 インプラント撤去法, Quintesence Dental Implantology, Vol.16, No.2, 2009.
- 27. 高崎義人, 北村一, 高橋恭久, 特集:インプラント治療における下歯槽神経損傷および知覚障害の診査・診断・対処法, Part 4 インプラント治療における事故および訴訟を起こさないために, Quintesence Dental Implantology, Vol.16, No.4, 2009 .
- 28. 監修;簗瀬武史,江黒徹,他.高橋恭久,このインプラントなに?,他医院で治療されたインプラントへの対応ガイド, 2011.
- 29. 高橋恭久, インプラント生体力学;インプラント治療におけるトルク管理の重要性.Part 1:インプラント治療におけるトルクの科学的背景.Quintesence Dental Implantology, Vol.19, No.3, 2012.
- 30. 高橋恭久, インプラント生体力学;インプラント治療におけるトルク管理の重要性.Part 2:インプラント治療におけるトルク制限装置の問題点について.Quintesence Dental Implantology, Vol.19, No.4, 2012.
- 31.中島康,高橋恭久,インプラント治療に役立つ最新外科器具事情, Quintesence Dental Implantology, Vol.19, No.4, 2012.
- 32. 書評;高橋恭久,監修;伊藤雄策,OSI study club,アストラテックインプラントシステムのすべて, Quintesence Dental Implantology, Vol.13, No.1, 2013.
- 33. 簗瀬武史・江黒徹・竹島明道・村上弘 編;高橋恭久,インプラント治療 こんなときどうする?インプラント埋入手術トラブル編~上顎洞内の造成骨が吸収して消失.医歯薬出版,2013.
- 34. 松野智宣,高橋恭久,皆川仁,山道信之,石川知弘,永原國央,大特集:成功している再生療法 -何を、どう使っていたか?- 高橋恭久,自家骨採取方法, Quintesence Dental Implantology, Vol.21, No.3, 2014.
- 35. Frank Schwarz, 三上格,馬場正英,岡田素平太,中島 康,高橋恭久, 特別インタビュー企画;インプラント周囲炎の第一人者Dr. Frank Schwarzが語る最新治療手順~外科的治療手順,Quintesence Dental Implantology, Vol.21, No.6, 2014.
- 36. Mauricio Araujo, 勝山英明, 黒嶋伸一郎, 澤瀬隆, 岡田素平太, 高橋恭久, 大特集;抜歯窩インプラント治療 ~移植か自然治癒か?即時か待時か?~抜歯窩インプラント症例からの検証: 移植or 自然治癒?Early or Delayed~ Quintesence Dental Implantology, Vol.22, No.3, 2015.
- 37. 巻頭特集2-2 編集部が注目! 2015年 今、この人が熱い!奥野幾久, 須藤哲也, 大石佳奈, 高橋恭久, 神戸良. Qiunt DENTAL AD Chronicle 2015.クインテッセンス出版株式会社.
- 38. 高橋恭久, 小宮山彌太郎, 宇城邦英, 特別座談会;インプラント治療におけるトルク値とは何なのか?Quintesence Dental Implantology, Vol.22, No.5, 2015.
- 39. 書評;高橋恭久, 一般社団法人日本インプラント臨床研究会編;重要8キーワードに学ぶすぐ見てわかるインプラント101症例集, Quintesence Dental Implantology, 970, Vol.22, No.6, 2015.
- 40. レポート;柴垣博一, 高橋恭久, 第24回European Association for Osseointegration, Quintesence Dental Implantology, 979, Vol.22, No.6, 2015.
- 41. レポート;高橋恭久, The P-I Branemark Memorial Symposium 2015, Quintesence Dental Implantology, 980-981, Vol.22, No.6, 2015.
- 42. 高橋恭久, 瀬田寿樹, インプラント臨床に革新, Sweden & Martina: コールドプラズマ洗浄処理による親水性インプラント表面のテクノロジー. Newton-1に続く新製品: ラボトルクドライバとトルクラチェットレンチの有効性. Qiunt DENTAL AD Chronicle 2017.
- 43. 著者; Louie Al-Faraje, 監訳; 坪井陽一, 翻訳総括; 高橋恭久, 中居伸行, アナトミー:インプラントのための外科術式と画像診断, クインテッセンス出版株式会社, 2016.
- 44. レポート;高橋恭久, Academy of Prosthodonthics (AP), 98th Annual Scientific Session参加レポート, 世界の著名なリーダーが集う高水準な学会. The Quintessence. Vol.35 No7/2016-0001.
- 45. レポート; 高橋恭久, 柴垣博一, 3rd Bone & Tissue Days World Congress (Botiss社), Quintessence Dental Implantology, 0966, Vol.6, 2016.
- 46. レポート;三田 稔, 田中謙光, 榊原 毅, 高橋恭久, 25th Annual Scientific Meeting of the European Association for Osseointegration (EAO) 日本が招待国となり盛会に, Quintesence DentalImplantology,Vol.24, No.1,2017.
- 47. 高橋恭久, 柴垣博一, -IS-II activeインプラントの臨床応用 第1回-~IS-II activeを応用した抜歯窩へのアプローチ, インプラントジャーナル, ゼニス出版, 2016 No.67.
- 48. 高橋恭久, 宝崎岳彦, -IS-II activeインプラントの臨床応用 第2回- 低侵襲で効率的なサイナスフロアエレベーションの提案, インプラントジャーナル, ゼニス出版, 2016 No.68.
- 49. 著者; Louie Al-Faraje, 監訳; 坪井陽一, 翻訳総括; 高橋恭久, 中居伸行, 丸尾勝一郎, 今 一裕, アナトミーからのインプラント外科手順チェックリスト, クインテッセンス出版株式会社, 2017.
- 50. 高橋恭久, ロバート ブラウン, マウロ ラバンカ・サージカルキットの臨床応用, Qiunt DENTAL AD Chronicle 2017.クインテッセンス出版株式会社.
- 51. 高橋恭久, 生物学的形成テクニック(BOPT)を応用したPRAMA(スウェーデン&マルティナ社)がもたらすインプラント補綴の新たな可能性. Qiunt DENTAL AD Chronicle 2017.クインテッセンス出版株式会社.
- 52.高橋恭久, IS-II activeインプラントの臨床応用, Quintessence, Year Book 2017.
- 53. 佐々木秀典, 高橋恭久,中島康,松田博文,和田誠大, SAFE(Sharing All Failed Experiences) Troubleshooting Guide Volume 2. 患者由来の合併症, クインテッセンス出版株式会社 2017.
- 54.松野智宣,高橋恭久,対談企画・自家骨に代わりうる骨補填材料はあるか?材料の特徴とその選択基準. Quintesence DentalImplantology,Vol.24, No.6,2017.
- 55.高橋恭久,The Report, 第17回 Premium Day International Congressイタリア Padua にて盛大に開催される, Quintesence DentalImplantology,Vol.24, No.6,2017.
- 56.高橋恭久,生物学的形成テクニック(BOPT)を応用したPRAMA(スウェーデン&マルティナ社)がもたらすインプラント補綴の新たな可能性, Qiunt DENTAL AD Chronicle 2018.
- 57.高橋恭久,マウロ ラバンカ・サージカルキットの臨床応用, 世界最高クラスのハンドメイド・サージカルインスツルメント Hu-Friedy, マウロ ラバンカ・サージカルキットの臨床応用 (Prof. MAURO LABANCA Dental Surgical Kit) , Qiunt DENTAL AD Chronicle 2018.
- 58.高橋恭久, 新世代粘膜貫通型インプラント ―PRAMAがもたらす新たな可能性― ,Quintessence, Year Book 2018.
- 59.高橋恭久, 海外レポート:Academy of Prosthodontics Annual Meeting 100th Anniversary,100周年を迎えたAPから,補綴学の過去と未来をみた4日間,ザ・クインテッセンス, 2018.
- 60.高橋恭久,特集2 HIGHBRIDGEコンセプト-高齢無歯顎患者に対するインプラント補綴の新たな提案-, Quintesence DentalImplantology,Vol.25, No.3,2018.
- 61.ITI Treatment Guide Vol.10, Implant Therapy in the Esthetic Zone: Current Treatment Modalities and Materials for Single-tooth Replacements., V. Chappuis, W. Martin,第4章・第8章翻訳,Quintessence Publishing,2018.
- 62.高橋恭久,インプラント武者修行 -海外留学・製品開発への挑戦!-,クインテッセンス出版株式会社,2018年7月.
- 63.監修・編集 Young-Ku Heoら,監訳 高橋恭久,翻訳 中島康,桝屋順一,丸尾勝一郎,低侵襲上顎洞挙上手術 -上顎臼歯部の新しいインプラント治療プロトコール,Well Publishing,2018年9月.
<インプラント治療の概要>

Iさん(46歳・女性)昭和46年 生まれのケース
インプラント治療費 ー保険適用なし(自費)ー
| インプラント埋入 | ¥ 170,000(1本) |
| 設備費用 | ¥ 90,000 |
| (骨造成・ソケットリフト) | (¥ 30,000~¥ 80,000) |
| (サイナスリフト) | (¥ 170,000) |
| 上部構造 (土台+被せ物) |
|
3割負担の方で¥10,000~¥12,000程です。
