インプラントの本当の価値とは?

ハイクオリティな予防歯科と審美歯科であなたの歯と健康を守り続けます 阿佐ヶ谷山下スマイル歯科 院長の山下圭造です。
今回は、インプラント治療の「知られざる最大のメリット」についてお話ししたいと思います。
インプラントというと、「見た目がきれい」「自分の歯のように噛める」「入れ歯でない」といった点に注目されがちです。
もちろん、それらも大きな魅力ですが、歯科医師としての視点から一番お伝えしたいことは実は別にあります。
それは、「インプラントが噛み合わせを支えることで、他の歯を守ることができる」という点です。
歯を失ったとき、残りの歯に何が起きる?
歯は、すべて揃ってお互いに支え合うことで、噛む力(咬合力)に耐えています。
もし1本でも歯を失うと、その分の負担は残された他の歯にかかってしまいます。
特定の歯に過度な力がかかり続けると、その歯もダメージを受け、ドミノ倒しのように次々と歯を失ってしまう……そんなケースも少なくありません。
そこで重要なのが、失った部分にしっかりと「防波堤」を立てることです。
16年間の経過が証明する「守る力」
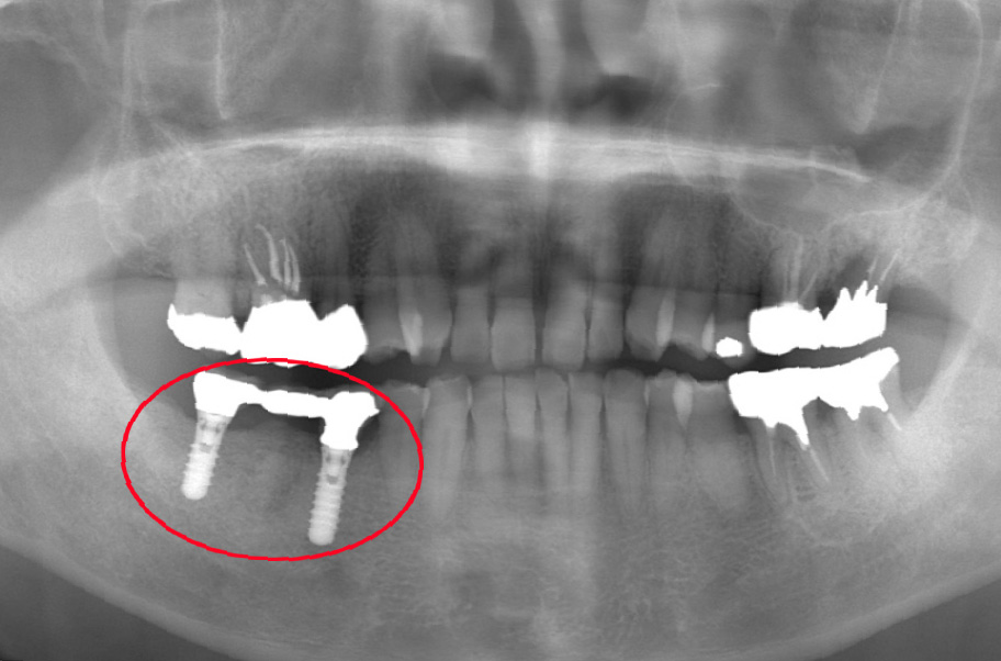
当院のホームページでもご紹介している、ある患者様のケースをお話しさせてください。
16年前に右下の奥歯を失い、インプラント治療を受けられた患者様(当時67歳)がいらっしゃいます。
インプラントを2本埋入し、しっかりと噛み合わせを回復させました。

【インプラント埋入直後】2009年6月当時67歳

【16年後】2025年4月83歳
それから16年が経ち、現在83歳になられましたが、インプラントの状態は非常に良好です。
そして何より素晴らしいのは、「この16年間、他のご自身の歯を一本も失っていない」という事実です。
これは偶然ではありません。
「インプラントがしっかりと噛む力を引き受け、支えてくれたおかげで、他のご自身の歯への負担が減った」からこそ、残りの歯が守られたのです。
「噛める」ことは「守る」こと
インプラントは単なる「歯の代わり」ではありません。
残っている大切な歯を、過酷な噛む力から守るための「防波堤」のような役割を果たしてくれるのです。
世界的専門医と連携する「チーム医療」
当院では、このインプラント治療を「チーム医療」で行っています。
まず、土台となるインプラントの埋入オペ(手術)を担当するのは、日本を代表するインプラント専門医・高橋恭久先生です。

高橋先生は、ドイツ・ミュンヘンで開催された国際学会(ITI World Symposium)にて「最高症例発表賞」を受賞されるなど、その技術は世界でも高く評価されています。
そして、手術後の「被せ物(上部構造)」の作製と調整に関しては、院長の私、もしくは副院長が責任を持って行います。
外科手技のスペシャリストが安全・確実に土台を築き、私たちお口全体のバランスを見るプロフェッショナルが、噛み合わせをミクロン単位で調整して仕上げる。
この連携があるからこそ、10年、20年と長持ちし、他の歯を守り続けるインプラントが実現できるのです。
一生物の歯を守るために
先ほどご紹介した患者様は、3〜4ヶ月ごとの定期メンテナンスにもしっかり通っていただき、80代になった現在もご自身の歯で食事を楽しまれています。
「今の噛みやすさ」だけでなく、「10年後、20年後の自分の歯を守る」という視点で、インプラントという選択肢を考えてみてはいかがでしょうか。
疑問や不安がある方は、ぜひ一度ご相談ください。
私たちチームが全力でサポートいたします✨